Nos actualités
Soins dentaires pour enfants à Lausanne: Comment aider votre enfant à garder un sourire sain dès le plus jeune âge
Introduction: Pourquoi commencer tôt est crucial Les premières dents de votre enfant sont plus qu’un symbole mignon: elles posent les bases de la santé bucco-dentaire future. Les habitudes formées pendant l’enfance influencent le soin des dents définitives et peuvent...
Santé bucco-dentaire et bien-être: Comment prévenir les maladies des gencives et garder un sourire sain
Introduction: Pourquoi vos gencives méritent toute votre attention Lorsqu’on pense à la santé bucco-dentaire, on se concentre souvent sur les dents elles-mêmes. Pourtant, les gencives jouent un rôle tout aussi crucial. Elles soutiennent vos dents, protègent vos...
Détartrage ou Blanchiment Dentaire : Comprendre la Différence pour un Sourire Éclatant
Vous souhaitez retrouver des dents blanches et un sourire éclatant, mais vous hésitez entre un détartrage et un blanchiment dentaire ? Ces deux soins bucco-dentaires sont souvent confondus, alors qu'ils répondent à des besoins très différents. Dans cet article, nous...
Fluorose Dentaire en Suisse : Comprendre ces Taches Blanches sur vos Dents
Qu'est-ce que la Fluorose Dentaire ? La fluorose dentaire est une anomalie de l'émail causée par l'ingestion excessive de fluor pendant la formation des dents, généralement avant l'âge de 8 ans. Cette condition se manifeste par des taches blanches opaques, des stries...
Blanchiment Dentaire Avant les Fêtes : Retrouvez un Sourire Éclatant
Les fêtes de fin d'année approchent à grands pas, et avec elles, leur lot de réunions familiales, de dîners entre amis et de photos souvenirs. C'est le moment idéal pour arborer un sourire radieux et confiant. Le blanchiment dentaire avant les fêtes est devenu une...
L’Hygiéniste Dentaire : Bien Plus Qu’un Professionnel de la Santé Buccodentaire
Une profession au cœur de votre santé globale Le métier d'hygiéniste dentaire va bien au-delà du simple détartrage ou du nettoyage des dents. Il s'agit d'une profession médicale complète qui allie connaissances médicales approfondies, vigilance constante et...
Hygiène dentaire : les 7 erreurs que tout le monde commet en se brossant les dents
On se brosse les dents deux fois par jour depuis l'enfance. Un geste si automatique qu'on ne se pose même plus de questions. Pourtant, la majorité d'entre nous commet des erreurs qui compromettent l'efficacité de ce rituel quotidien. Des études montrent que près de...
Blanchiment dentaire : tout ce qu’il faut savoir avant de franchir le pas
Votre sourire a perdu de son éclat au fil du temps ? Vous n'osez plus sourire en public car vos dents sont devenues jaunes ? Vous n'êtes pas seul. Même avec une hygiène dentaire irréprochable et un brossage énergique et consciencieux après chaque repas, nos dents...
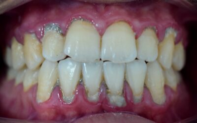
Les maladies parodontales : une infection fréquente aux conséquences systémiques
Introduction Les maladies parodontales, telles que la gingivite et la parodontite, comptent parmi les infections chroniques les plus répandues chez l’être humain. Elles affectent les tissus de soutien de la dent (appelés le parodonte) : gencive, ligament parodontal,...
Ce que nos clients disent de nous
Nous avons le plaisir de compter sur un score de 5 étoiles sur 5 sur Google Maps
⭐️⭐️⭐️⭐️⭐️
Foire Aux Questions
Doit-on se préoccuper d’un saignement qui apparaît lorsqu’on se brosse les dents ?
Quand les dents sont bien brossées, les gencives ne saignent pas. En revanche, il est important de repérer d'éventuels saignements, car ceux-ci indiquent la présence d'une gingivite ou d'une parodontite. Une gencive qui saigne est une gencive malade. Par conséquent, si vous observez du sang sur votre brosse à dents ou en recrachant votre dentifrice, essayez de repérer le site qui saigne et brossez-le avec plus d'attention. S'il continue à saigner après 3 jours, consultez votre hygiéniste dentaire !
Attention ! Chez les fumeurs, les saignements sont masqués.
Mon dentiste n’a pas d’hygiéniste dentaire, puis-je venir au Cabinet Happy Smile effectuer un soin avec l’hygiéniste dentaire?
Bien sûr ! Si votre dentiste n’a pas d’hygiéniste dentaire, vous pouvez tout à fait prendre rendez-vous au Cabinet Happy Smile pour un soin avec l’hygiéniste dentaire. En Suisse, et selon la législation en vigueur, vous n’avez pas besoin d’une ordonnance du dentiste pour consulter un(e) hygiéniste dentaire. Notre hygiéniste dentaire possède une autorisation de pratique et fait partie du NAREG.
Mon dentiste effectue mon contrôle et mon détartrage, pourquoi devrais-je faire un détartrage avec un(e) hygiéniste dentaire ?
Bien évidemment, votre dentiste reste la personne clé pour les diagnostics globaux, le traitement des caries et les soins plus complexes. L’hygiéniste dentaire est formé(e) pour réaliser un nettoyage minutieux et en profondeur, en prenant le temps d’atteindre les zones difficiles d’accès et d’éliminer le tartre. Ces soins permettent de prévenir les maladies des gencives en agissant de manière ciblée sur la santé bucco-dentaire. En plus du détartrage, l’hygiéniste prodigue des conseils personnalisés pour améliorer l’hygiène quotidienne. Les deux professionnels travaillent en complémentarité pour assurer une santé dentaire optimale. Consulter un(e) hygiéniste dentaire permet donc d’optimiser la prévention et de maintenir un bien-être bucco-dentaire durable. Cela vous offre une approche complète, alliant prévention, soins et suivi régulier.
Mon dentiste a un(e) hygiéniste dentaire mais les délais pour prendre rendez-vous sont trop longs, puis-je venir au Cabinet Happy Smile pour effectuer mon détartrage ?
Oui, vous pouvez tout à fait prendre rendez-vous au Cabinet Happy Smile à Pully pour un détartrage, même si votre dentiste habituel propose ce service mais avec des délais trop longs. Le cabinet accepte les nouveaux patients et offre des plages horaires flexibles, y compris en soirée et le samedi, ce qui vous permet souvent d'obtenir un rendez-vous dans la semaine selon vos disponibilités.
Le Cabinet Happy Smile collabore-t-il avec d’autres professionnels pour assurer la prise en charge des soins complémentaires qui pourraient être nécessaires ?
Oui, le Cabinet Happy Smile à Pully collabore avec des professionnels de la santé bucco-dentaire, tels que des dentistes, afin d’assurer une prise en charge complète de vos besoins. Si, au cours d’un soin, l’hygiéniste dentaire identifie des problèmes nécessitant un traitement spécifique (comme des caries, des prothèses, ou des soins plus complexes), elle pourra vous orienter vers un dentiste partenaire ou un spécialiste avec qui le cabinet collabore. Cela garantit un suivi efficace et coordonné de votre santé bucco-dentaire.
Quelle est la fréquence idéale pour les visites de routine chez l’hygiéniste dentaire ?
La fréquence idéale des visites chez l’hygiéniste dentaire dépend de plusieurs facteurs, comme votre santé bucco-dentaire, vos habitudes et vos antécédents. En général, une visite tous les 6 mois est recommandée pour la plupart des personnes. Cependant, pour celles qui présentent un risque plus élevé de maladies des gencives ou de tartre, comme les fumeurs, les personnes atteintes de diabète ou celles ayant un historique de parodontite, des visites plus fréquentes (tous les 3 à 4 mois) peuvent être conseillées.








