par Cabinet Happy Smile | Jan 14, 2026 | Informations Générales
Introduction L’esthétique dentaire ne se limite plus aujourd’hui à un sourire blanc et aligné. De plus en plus de patients souhaitent personnaliser leur sourire grâce à des soins modernes, discrets et non invasifs, tels que la pose de strass dentaire. Cependant, pour...
par Cabinet Happy Smile | Jan 14, 2026 | Informations Générales
Introduction L’esthétique du sourire occupe aujourd’hui une place centrale dans la confiance en soi et l’image personnelle. Parmi les soins les plus demandés en cabinet d’hygiène dentaire figurent le blanchiment dentaire et la pose de strass dentaire. Ces deux...
par Cabinet Happy Smile | Nov 13, 2025 | Informations Générales
Introduction: Pourquoi commencer tôt est crucial Les premières dents de votre enfant sont plus qu’un symbole mignon: elles posent les bases de la santé bucco-dentaire future. Les habitudes formées pendant l’enfance influencent le soin des dents définitives et peuvent...
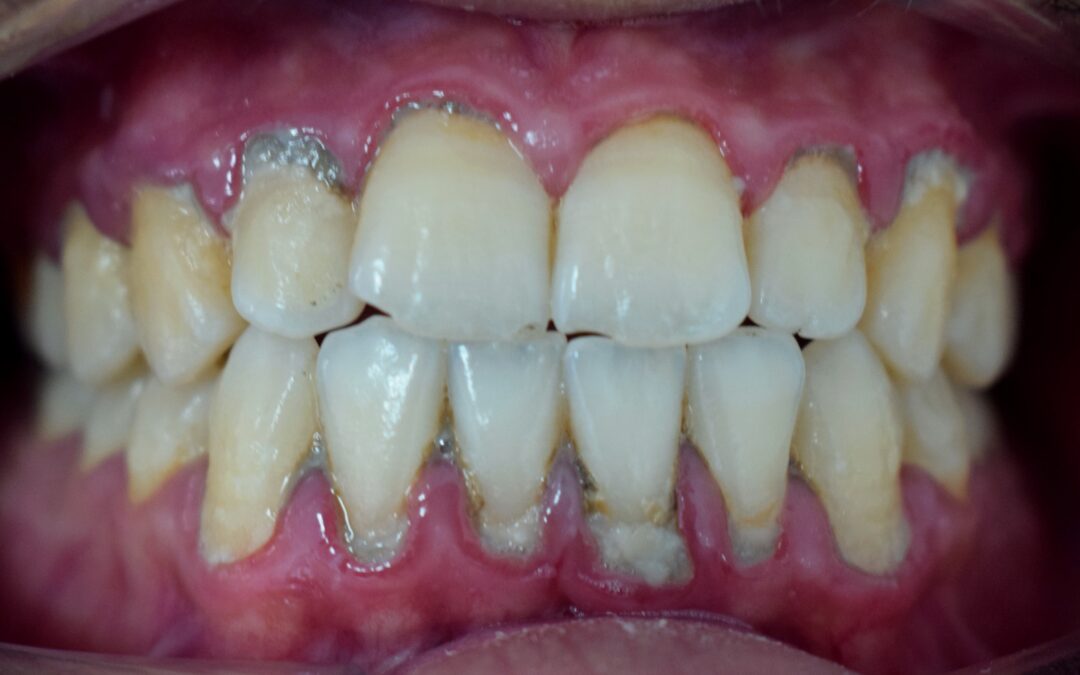
par Cabinet Happy Smile | Nov 13, 2025 | Informations Générales
Introduction: Pourquoi vos gencives méritent toute votre attention Lorsqu’on pense à la santé bucco-dentaire, on se concentre souvent sur les dents elles-mêmes. Pourtant, les gencives jouent un rôle tout aussi crucial. Elles soutiennent vos dents, protègent vos...
par Cabinet Happy Smile | Oct 29, 2025 | Informations Générales
Vous souhaitez retrouver des dents blanches et un sourire éclatant, mais vous hésitez entre un détartrage et un blanchiment dentaire ? Ces deux soins bucco-dentaires sont souvent confondus, alors qu’ils répondent à des besoins très différents. Dans cet article,...