+41 78 842 03 04 info@cabinet-happy-smile.ch

Introduction

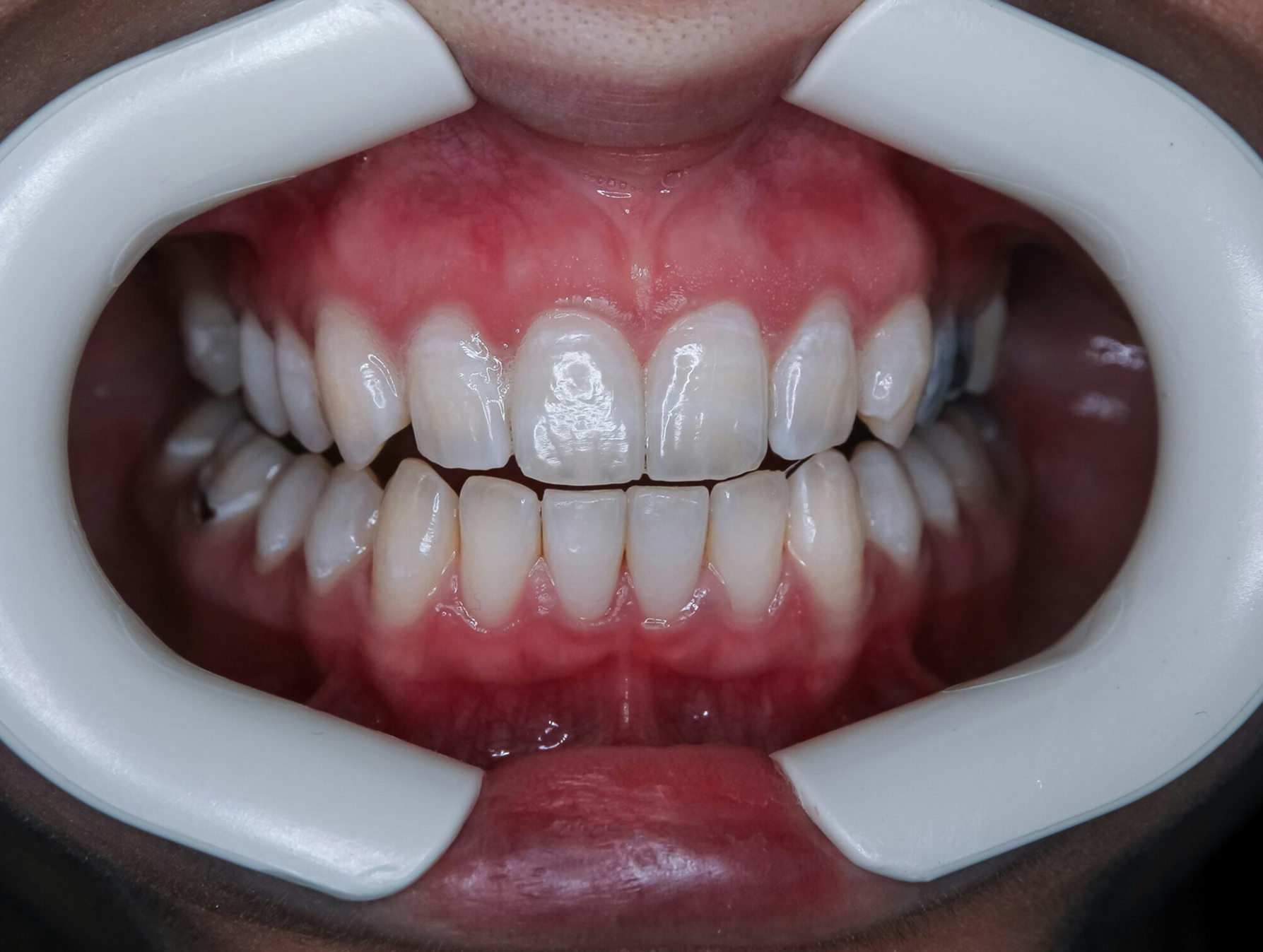
L’esthétique du sourire occupe aujourd’hui une place centrale dans la confiance en soi et l’image personnelle. Parmi les soins les plus demandés en cabinet d’hygiène dentaire figurent le blanchiment dentaire et la pose de strass dentaire. Ces deux traitements, bien que complémentaires, répondent à des objectifs différents et ne doivent pas être réalisés au hasard.

À Lausanne, et plus précisément à Pully, le Cabinet Happy Smile, dirigé par Stéphanie Cartier, hygiéniste dentaire expérimentée, accompagne ses patients dans le choix du soin le plus adapté, au moment le plus opportun, afin d’obtenir un résultat esthétique durable et harmonieux.

Cet article a pour objectif de répondre à une question fréquemment posée : faut-il effectuer un blanchiment avant ou après la pose d’un strass dentaire, et dans quelles situations privilégier l’un ou l’autre ?

Comprendre les soins esthétiques dentaires

Qu’est-ce que le blanchiment dentaire ?

Le blanchiment dentaire professionnel est un traitement visant à éclaircir la teinte naturelle des dents en éliminant les pigments responsables des colorations. Ces taches peuvent être dues à :

  • la consommation de café, thé ou vin rouge

  • le tabac

  • le vieillissement naturel de l’émail

  • certains médicaments

Réalisé en cabinet d’hygiène dentaire à Lausanne, le blanchiment est sécurisé, encadré et personnalisé. Il permet d’obtenir un sourire plus lumineux tout en respectant la santé de l’émail.

Qu’est-ce que la pose de strass dentaire ?

La pose de strass dentaire est un soin esthétique non invasif qui consiste à fixer un petit bijou décoratif sur la surface de la dent, généralement sur une incisive supérieure. Le strass apporte une touche d’originalité et de brillance au sourire, sans perçage ni altération de la dent.

Lorsqu’elle est réalisée par une professionnelle qualifiée, la pose est indolore, réversible et respectueuse de l’émail.

Blanchiment et détartrage : une étape essentielle avant tout soin esthétique

Le rôle du détartrage

Avant d’envisager un blanchiment ou la pose d’un strass dentaire, un détartrage professionnel est indispensable. Le détartrage permet :

  • d’éliminer le tartre et la plaque bactérienne

  • de retrouver une surface dentaire propre et saine

  • d’améliorer l’efficacité du blanchiment

  • d’assurer une meilleure adhérence du strass dentaire

Au Cabinet Happy Smile à Lausanne, le détartrage est systématiquement évalué avant tout soin esthétique afin de garantir un résultat optimal et durable.

Blanchiment ou strass dentaire : quel soin réaliser en premier ?

Pourquoi le blanchiment doit précéder la pose de strass dentaire

Dans la grande majorité des cas, il est fortement recommandé d’effectuer le blanchiment dentaire avant la pose d’un strass. Cette approche présente plusieurs avantages :

  • le blanchiment agit uniformément sur toute la surface de la dent

  • la teinte finale est stabilisée avant l’ajout du strass

  • le bijou ne gêne pas l’action des agents blanchissants

Une fois le strass posé, il ne sera pas affecté par le blanchiment, ce qui pourrait créer une différence de teinte autour du bijou si le blanchiment est réalisé après coup.

Peut-on poser un strass sans blanchiment ?

Oui, la pose de strass dentaire peut être réalisée sans blanchiment préalable, notamment si :

  • la couleur naturelle des dents est déjà satisfaisante

  • le patient souhaite uniquement un effet décoratif

  • le blanchiment n’est pas indiqué pour des raisons médicales

Dans ce cas, l’hygiéniste dentaire évaluera l’état de l’émail et proposera un détartrage approfondi pour garantir un rendu esthétique harmonieux.

Quand réaliser un blanchiment dentaire seul ?

Le blanchiment est particulièrement indiqué lorsque l’objectif principal est de raviver l’éclat du sourire, sans élément décoratif supplémentaire. À Lausanne, de nombreux patients optent pour un blanchiment dans les situations suivantes :

  • événement important (mariage, entretien professionnel, séance photo)

  • changement d’image personnelle

  • prévention du vieillissement du sourire

Le Cabinet Happy Smile à Pully propose des solutions de blanchiment adaptées à chaque profil, dans le respect des normes de sécurité et de l’émail.

Quand privilégier la pose de strass dentaire ?

La pose de strass dentaire est idéale pour les patients qui souhaitent :

  • personnaliser leur sourire

  • apporter une touche esthétique discrète

  • bénéficier d’un soin réversible et non invasif

Elle est particulièrement appréciée par les personnes ayant déjà une bonne hygiène bucco-dentaire et une teinte dentaire satisfaisante.

Combiner blanchiment et strass dentaire : la solution idéale

Un sourire éclatant et personnalisé

Associer un blanchiment dentaire professionnel à une pose de strass dentaire permet d’obtenir un sourire à la fois lumineux et unique. Cette combinaison est souvent recommandée lorsque :

  • le patient souhaite un résultat esthétique maximal

  • la teinte des dents est ternie

  • le strass doit être mis en valeur

Après un blanchiment réussi, la pose du strass ressort davantage et attire subtilement la lumière.

Le timing recommandé

Au Cabinet Happy Smile à Lausanne, le protocole conseillé est le suivant :

1. Bilan bucco-dentaire

2. Détartrage professionnel

3. Blanchiment dentaire

4. Temps de stabilisation de la teinte

5. Pose du strass dentaire

Ce processus garantit un résultat durable, esthétique et respectueux de la santé dentaire.

Sécurité et expertise au Cabinet Happy Smile à Lausanne

Une approche professionnelle et personnalisée

Le Cabinet Happy Smile, situé à Lausanne, Pully, est un cabinet d’hygiène dentaire dirigé par Stéphanie Cartier, reconnue pour son expertise et son approche centrée sur le patient. Chaque soin est précédé d’une évaluation minutieuse afin de proposer une solution adaptée aux besoins et aux attentes de chacun.

Des soins réalisés dans le respect de l’émail

Qu’il s’agisse de blanchiment, de détartrage ou de pose de strass dentaire, tous les traitements sont réalisés avec des produits de qualité, conformes aux normes suisses, garantissant la sécurité et le confort du patient.

Conclusion : quand faire quoi ?

En résumé :

  • le détartrage est toujours la première étape

  • le blanchiment dentaire doit idéalement précéder la pose de strass

  • la pose de strass dentaire vient sublimer un sourire déjà éclairci

  • chaque situation nécessite une évaluation personnalisée

Pour bénéficier d’un accompagnement professionnel à Lausanne, le Cabinet Happy Smile à Pully est votre référence en matière de soins esthétiques dentaires.

Prenez rendez-vous au Cabinet Happy Smile à Lausanne

Vous souhaitez réaliser un blanchiment, une pose de strass dentaire ou un détartrage professionnel à Lausanne ?
Le Cabinet Happy Smile vous accueille dans un cadre moderne et bienveillant pour sublimer votre sourire en toute sécurité.

Contactez dès maintenant le Cabinet Happy Smile à Lausanne, Pully, et confiez votre sourire à une hygiéniste dentaire de confiance.

📞  +41 78 842 03 04

💌  info@cabinet-happy-smile.ch

🛜  Rdv en ligne sur OneDoc

Actualité du cabinet

Parodontite : symptômes, stades et rôle de l’hygiéniste dentaire

La parodontite est l’une des pathologies chroniques les plus répandues en médecine. Elle touche les tissus de soutien des dents — gencives, ligament parodontal, os alvéolaire — et progresse la plupart du temps sans douleur, jusqu’au moment où les dégâts sont devenus difficiles à ignorer. Mobilité dentaire, recul gingival visible, sensation de dents qui s’allongent : à ce stade, une partie de la destruction osseuse est déjà irréversible.

Mauvaise haleine (halitose) : causes, diagnostic et traitement durable

Découvrez les avantages du blanchiment dentaire professionnel au Cabinet Happy Smile à Lausanne. Des résultats éclatants, durables et sécurisés, adaptés à vos besoins pour retrouver confiance en votre sourire!

Pose de strass dentaire et détartrage : quand faire quoi ?

La pose de strass dentaire nécessite une préparation rigoureuse. Découvrez pourquoi le détartrage est une étape clé et quand réaliser chaque soin au Cabinet Happy Smile à Lausanne.

Soins dentaires pour enfants à Lausanne: Comment aider votre enfant à garder un sourire sain dès le plus jeune âge

Prendre soin des dents de votre enfant dès le plus jeune âge est essentiel pour assurer un sourire sain et durable. Au Cabinet Happy Smile à Pully, nos hygiénistes dentaires accompagnent chaque famille de Lausanne pour instaurer de bonnes habitudes, réaliser des soins adaptés et rendre la visite chez le dentiste agréable. Dans cet article, nous expliquons quand commencer les soins dentaires, les gestes quotidiens pour prévenir les caries, l’importance des nettoyages professionnels et comment encourager les enfants à adopter un comportement positif face à la santé bucco-dentaire.

Santé bucco-dentaire et bien-être: Comment prévenir les maladies des gencives et garder un sourire sain

La santé de vos gencives influence non seulement votre sourire, mais aussi votre bien-être général. Les maladies gingivales, comme la gingivite ou la parodontite, peuvent avoir des conséquences importantes si elles ne sont pas prises en charge à temps. Au Cabinet Happy Smile à Pully, nos hygiénistes dentaires accompagnent chaque patient de Lausanne dans la prévention et le traitement des maladies des gencives. Dans cet article, nous détaillons les causes principales, les gestes quotidiens à adopter, l’importance des soins professionnels, ainsi que des conseils pratiques pour garder des gencives saines tout au long de votre vie.

Détartrage ou Blanchiment Dentaire : Comprendre la Différence pour un Sourire Éclatant

Détartrage ou blanchiment dentaire? Découvrez les différences, avantages, prix et résultats de ces deux soins dentaires. Guide complet 2025.

Fluorose Dentaire en Suisse : Comprendre ces Taches Blanches sur vos Dents

La fluorose dentaire se manifeste par des taches blanches ou brunâtres sur l’émail, causées par une exposition excessive au fluor pendant l’enfance. En Suisse, la situation varie selon les cantons : certains fluorent l’eau potable, d’autres privilégient le sel fluoré. À Lausanne et dans le canton de Vaud, l’eau n’est pas fluorée, réduisant les risques. Cette condition esthétique, bien que permanente, peut être traitée efficacement grâce à plusieurs solutions modernes comme la microabrasion, l’infiltration résineuse ou les facettes. Comprendre la fluorose permet de prévenir son apparition chez les enfants et de choisir le traitement adapté.

Blanchiment Dentaire Avant les Fêtes : Retrouvez un Sourire Éclatant

Les fêtes de fin d’année sont l’occasion idéale pour arborer un sourire éclatant.
Que ce soit pour les photos de famille, les réunions professionnelles ou simplement
pour renforcer votre confiance en vous, le blanchiment dentaire avant les fêtes est
devenu une préoccupation esthétique majeure.

L’Hygiéniste Dentaire : Bien Plus Qu’un Professionnel de la Santé Buccodentaire

L’hygiéniste dentaire est un professionnel de santé clé qui va bien au-delà du simple détartrage. Expert en prévention buccodentaire, il assure le dépistage précoce des pathologies, accompagne psychologiquement les patients anxieux, propose des conseils nutritionnels personnalisés et collabore avec d’autres spécialistes pour une approche holistique. Acteur de sevrage tabagique et sentinelle de santé globale, l’hygiéniste peut détecter des signes de maladies systémiques comme le diabète ou des lésions cutanées. Sa proximité avec les patients en fait un maillon essentiel du système de santé.

Hygiène dentaire : les 7 erreurs que tout le monde commet en se brossant les dents

On se brosse les dents deux fois par jour depuis l’enfance. Un geste si automatique qu’on ne se pose même plus de questions. Pourtant, la majorité d’entre nous commet des erreurs qui compromettent l’efficacité de ce rituel quotidien. Des études montrent que près de 70% des adultes ne se brossent pas correctement les dents, ce qui explique pourquoi les problèmes dentaires restent si fréquents malgré nos efforts quotidiens. Voici les sept erreurs les plus courantes – et comment les corriger pour enfin prendre soin de votre sourire comme il le mérite.

Ce que nos clients disent de nous

Nous avons le plaisir de compter sur un score de 5 étoiles sur 5 sur Google Maps

⭐️⭐️⭐️⭐️⭐️

Emanuel Severino

Je recommande vivement ce cabinet d'hygiéniste dentaire ! Le personnel est extrêmement professionnel, accueillant et attentif. Les soins sont de haute qualité et le cadre est très agréable. Une expérience toujours positive et rassurante. Merci pour votre excellent service!

⭐️⭐️⭐️⭐️⭐️

Cel

Je recommande. Excellent travail, détartrage minutieux et bien réalisé. Hygiéniste professionnelle, consciencieuse et adorable!

⭐️⭐️⭐️⭐️⭐️

Willy Gindroz

Cela fait déjà bien des années que je suis un patient de Stéphanie et j'en suis toujours autant satisfait ! Elle travaille avec beaucoup de précision et tout en douceur. Elle est toujours de bonne humeur et très agréable!. Je ne peux que la recommander !!!

⭐️⭐️⭐️⭐️⭐️

Julia Helou

J'ai été ravie de découvrir ce cabinet qui porte d'ailleurs bien son nom; on en sort avec un sourire joyeux non seulement grâce aux soins apportés par Stéphanie mais aussi grâce à sa gentillesse et joie de vivre. J'y retournerai avec plaisir.

⭐️⭐️⭐️⭐️⭐️

Joana de brito

Quelle plaisir de pouvoir avec une professionnelle très bien placée à la gare de Pully qui peut prendre les enfants et les adultes. Très douce et qui prend le temps pour vous. Mes enfants et moi sommes enchantés.

⭐️⭐️⭐️⭐️⭐️

Manon Ropital

The place I was looking for!

Stephanie is a really kind person with a big heart. She listens to her patients, it was the first time for me in her clinic and I was worried since I had quite some job done on my teeth.

She work in a very gentle and non invasive way which is great for people with sensitive gums and teeth.

I’m so glad I found a professional nearby as my previous ones were in Martigny / Verbier.

⭐️⭐️⭐️⭐️⭐️

Nani Gross

Je recommande vivement Stéphanie pour ces qualités d'hygiéniste, toujours à l'écoute des besoins et de bonne humeur.

⭐️⭐️⭐️⭐️⭐️

Julia Helou

J'ai été ravie de découvrir ce cabinet qui porte d'ailleurs bien son nom; on en sort avec un sourire joyeux non seulement grâce aux soins apportés par Stéphanie mais aussi grâce à sa gentillesse et joie de vivre. J'y retournerai avec plaisir.

⭐️⭐️⭐️⭐️⭐️

Rita

The office is welcoming and tastefully decorated. Stéphanie is very professional, competent and attentive. His work is impeccable: very careful and gentle... which is not insignificant... and all this with a smile!
I highly recommend her to anyone looking for an excellent dental hygienist!

⭐️⭐️⭐️⭐️⭐️

Emil

Chère Stéphanie, merci merci et merci encore ! de m'avoir rendu mon plus beau sourire ! Vous avez fait un travail absolument magnifique ! et c’est sans compter votre chaleureux accueil, vos excellents conseils, une écoute attentive à mes besoins, un cadre super agréable, un équipement des plus modernes et une technique de travail irréprochable. Je ne peux que vous conseiller aux plus exigeants ! Très heureux de vous avoir rencontré, et me réjouis d’avance de repasser entre vos mains expertes !

⭐️⭐️⭐️⭐️⭐️

Laurent Müller

Très compétente et très douce. En effet, j'ai toujours eu peur d'aller faire un détartrage et j'ai pu voir qu'avec Stéphanie cela passait comme une lettre à la poste, presque rien senti. Je recommande fortement.

⭐️⭐️⭐️⭐️⭐️

Carmen Muñoz Gómez

Je conseille sans hésiter ce cabinet, Stéphanie est professionnelle, accueillante et très douce.

⭐️⭐️⭐️⭐️⭐️

Alexander Green

Très bon traitement hygiène dentaire. La dentiste est très sympathique et donne de bon conseils. Je recommande.

⭐️⭐️⭐️⭐️⭐️

Foire Aux Questions

Doit-on se préoccuper d’un saignement qui apparaît lorsqu’on se brosse les dents ?

Quand les dents sont bien brossées, les gencives ne saignent pas. En revanche, il est important de repérer d'éventuels saignements, car ceux-ci indiquent la présence d'une gingivite ou d'une parodontite. Une gencive qui saigne est une gencive malade. Par conséquent, si vous observez du sang sur votre brosse à dents ou en recrachant votre dentifrice, essayez de repérer le site qui saigne et brossez-le avec plus d'attention. S'il continue à saigner après 3 jours, consultez votre hygiéniste dentaire !
Attention ! Chez les fumeurs, les saignements sont masqués.

Mon dentiste n’a pas d’hygiéniste dentaire, puis-je venir au Cabinet Happy Smile effectuer un soin avec l’hygiéniste dentaire?

Bien sûr ! Si votre dentiste n’a pas d’hygiéniste dentaire, vous pouvez tout à fait prendre rendez-vous au Cabinet Happy Smile pour un soin avec l’hygiéniste dentaire. En Suisse, et selon la législation en vigueur, vous n’avez pas besoin d’une ordonnance du dentiste pour consulter un(e) hygiéniste dentaire. Notre hygiéniste dentaire possède une autorisation de pratique et fait partie du NAREG.

Mon dentiste effectue mon contrôle et mon détartrage, pourquoi devrais-je faire un détartrage avec un(e) hygiéniste dentaire ?

Bien évidemment, votre dentiste reste la personne clé pour les diagnostics globaux, le traitement des caries et les soins plus complexes. L’hygiéniste dentaire est formé(e) pour réaliser un nettoyage minutieux et en profondeur, en prenant le temps d’atteindre les zones difficiles d’accès et d’éliminer le tartre. Ces soins permettent de prévenir les maladies des gencives en agissant de manière ciblée sur la santé bucco-dentaire. En plus du détartrage, l’hygiéniste prodigue des conseils personnalisés pour améliorer l’hygiène quotidienne. Les deux professionnels travaillent en complémentarité pour assurer une santé dentaire optimale. Consulter un(e) hygiéniste dentaire permet donc d’optimiser la prévention et de maintenir un bien-être bucco-dentaire durable. Cela vous offre une approche complète, alliant prévention, soins et suivi régulier.

Mon dentiste a un(e) hygiéniste dentaire mais les délais pour prendre rendez-vous sont trop longs, puis-je venir au Cabinet Happy Smile pour effectuer mon détartrage ?

Oui, vous pouvez tout à fait prendre rendez-vous au Cabinet Happy Smile à Pully pour un détartrage, même si votre dentiste habituel propose ce service mais avec des délais trop longs. Le cabinet accepte les nouveaux patients et offre des plages horaires flexibles, y compris en soirée et le samedi, ce qui vous permet souvent d'obtenir un rendez-vous dans la semaine selon vos disponibilités.

Le Cabinet Happy Smile collabore-t-il avec d’autres professionnels pour assurer la prise en charge des soins complémentaires qui pourraient être nécessaires ?

Oui, le Cabinet Happy Smile à Pully collabore avec des professionnels de la santé bucco-dentaire, tels que des dentistes, afin d’assurer une prise en charge complète de vos besoins. Si, au cours d’un soin, l’hygiéniste dentaire identifie des problèmes nécessitant un traitement spécifique (comme des caries, des prothèses, ou des soins plus complexes), elle pourra vous orienter vers un dentiste partenaire ou un spécialiste avec qui le cabinet collabore. Cela garantit un suivi efficace et coordonné de votre santé bucco-dentaire.

Quelle est la fréquence idéale pour les visites de routine chez l’hygiéniste dentaire ?

La fréquence idéale des visites chez l’hygiéniste dentaire dépend de plusieurs facteurs, comme votre santé bucco-dentaire, vos habitudes et vos antécédents. En général, une visite tous les 6 mois est recommandée pour la plupart des personnes. Cependant, pour celles qui présentent un risque plus élevé de maladies des gencives ou de tartre, comme les fumeurs, les personnes atteintes de diabète ou celles ayant un historique de parodontite, des visites plus fréquentes (tous les 3 à 4 mois) peuvent être conseillées.

Nous contacter

Adresse

Place de la gare 1

1009 Pully

Dans les galeries marchandes au 2e étage à côté de la fromagerie et de la Pharmacie BENU

Contact

Lundi : Fermé

mardi, mercredi 07h00 - 19h00

Jeudi, vendredi 07h00 - 20h00

Samedi 08h00 - 16h00

Téléphone: +41 78 842 03 04

Email: info@cabinet-happy-smile.ch

Cabinet Happy Smile

LinkedIn
LinkedIn
Share
Instagram
WhatsApp
Tiktok